2月21日,搭载腾讯AI医学影像和腾讯云技术的人工智能CT设备在湖北方舱医院成功部署。除拥有3690张床位的武汉日海方舱医院之外,首批设备也落地武汉协和西院和洪湖市人民医院。通过这套设备,AI算法只需数秒即可助力医生识别新冠肺炎,将大大缓解当地CT筛查能力不足的压力。目前,在腾讯公益慈善基金会的支持下,第二批应急专用CT装备也将陆续送达湖北抗疫最前线。

应急专用CT装备运抵医院
伴随新冠肺炎病人确诊数量增加,湖北各级医院CT检查需求激增。在腾讯基金会的支持下,首批人工智能CT装备奔赴湖北。其搭载的“腾讯觅影”AI辅助诊断新冠肺炎解决方案,可以在患者CT检查后数秒完成AI判定,并在一分钟内为医生提供辅助诊断参考。

应急专用CT装备
截至2月21日,湖北确诊病例超过6万例,给影像科医生带来巨大工作量,疑似病例确诊检查之外,治疗期患者每5天要做一次CT检查。按照一次胸部CT产生300张影像计算,医生肉眼阅片将耗费5-15分钟。而AI与人工协作的方式,将大幅提升检查效率,减轻医生工作量,并让患者得到更及时的治疗。为了在前线尽快落地使用,“腾讯觅影”依托可移动的新型应急专用CT装备,第一时间赶赴疫情现场,快速部署;并通过独立于医院大楼之外的安装位置,进一步避免受检者交叉感染。

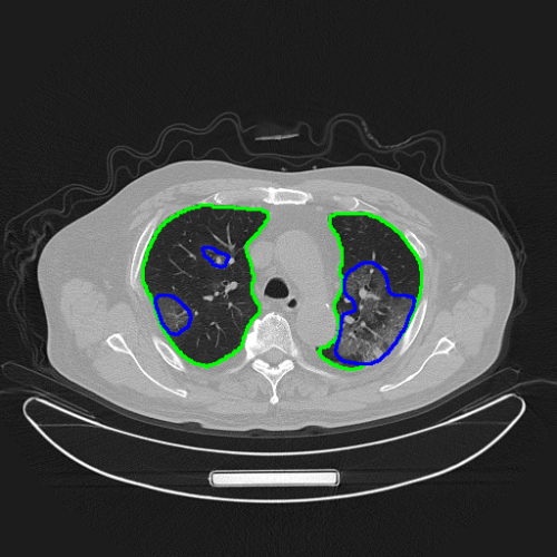
AI对病人肺部和新冠肺炎病灶做了精确的自动分割
“腾讯觅影”对新冠肺炎影像识别模型也做了针对性的优化。通过肺炎病灶区域的精确分割,提供定量分析,以方便影像医生在短时间内对患者病情的严重程度及发展过程做出准确评判。下一步还将提供病例随访等功能,方便医生快速比对患者病情,评估治疗效果。
“早期呈现多发小斑片影及间质改变,以肺外带明显。进而发展为双肺多发磨玻璃影、浸润影,严重者可出现肺实变,胸腔积液少见。”在国家卫生健康委员会办公厅公布的多个版本的《新型冠状病毒感染的肺炎诊疗方案》中,均有胸部CT影像作为判定新冠肺炎临床依据的表述。CT检查也成为PCR(聚合酶链式反应)检测试剂盒检测的重要补充,在新冠肺炎疑似病例确诊以及患者治疗有着重要作用。人工智能技术与CT影像的结合,则能够加快新冠肺炎患者的筛查和治疗。而腾讯云也在推进把这一AI能力部署到云上,帮助更多战疫前线的医生和患者。
新冠肺炎疫情发展后,“腾讯觅影”第一时间启动“基于CT影像的新冠肺炎AI辅助诊断”专项,利用腾讯天衍实验室的深度学习技术,在AI辅助诊断肺炎分型的基础上,快速开发出新冠肺炎影像识别模型。同时,腾讯公司还发起了“加强医学影像人工智能行业合作协同阻击新冠肺炎疫情”倡议书,推动全行业在抗击新冠肺炎疫情中积极发挥作用,目前已有近百家医学影像人工智能企业、医疗器械厂商、医疗机构、科研院校、行业学(协)会申请参加。
疫情发生之后,腾讯公司在物资支援、科研开发、人员关怀、小程序开发等领域,全面支持“战疫”,设立共15亿元的战疫基金。在物资支援方面,截至2月18日,包括382万个口罩、26.6万套防护服、120吨75%乙醇、6.2万份检测试剂盒、43.2万份防护手套、2.25万片成人纸尿裤在内的大批物资,已经抵达前线完成发放。
除了自身捐赠外,腾讯公益平台还第一时间设立“驰援抗击新型冠状病毒肺炎疫情”专题,为慈善组织开展募捐提供支持。截至2月19日15时,在1114万人次爱心网友的共同助力下,腾讯公益平台已募集超过5.5亿元款,助力平台上74家慈善组织启动执行工作。
转自: 新华网
【版权及免责声明】凡本网所属版权作品,转载时须获得授权并注明来源“中国产业经济信息网”,违者本网将保留追究其相关法律责任的权力。凡转载文章及企业宣传资讯,仅代表作者个人观点,不代表本网观点和立场。版权事宜请联系:010-65367254。
延伸阅读

版权所有:中国产业经济信息网京ICP备11041399号-2京公网安备11010502035964